Leczenie stomatologiczne to szeroki temat, który obejmuje wiele różnych procedur i technik mających na celu poprawę zdrowia jamy ustnej. Warto zwrócić uwagę na podstawowe elementy, które są kluczowe w procesie leczenia. Przede wszystkim, regularne wizyty u dentysty są niezbędne do monitorowania stanu zębów oraz dziąseł. Dentysta może wykryć problemy we wczesnym stadium, co pozwala uniknąć bardziej skomplikowanych zabiegów w przyszłości. Kolejnym istotnym aspektem jest higiena jamy ustnej, która powinna być utrzymywana na wysokim poziomie przez codzienne szczotkowanie zębów oraz używanie nici dentystycznej. W przypadku wystąpienia bólu zęba lub innych dolegliwości, nie należy czekać na ustąpienie objawów, lecz jak najszybciej udać się do specjalisty. Warto również pamiętać o znaczeniu diety bogatej w składniki odżywcze, które wspierają zdrowie zębów i dziąseł.
Jakie metody leczenia stomatologicznego są najskuteczniejsze
W leczeniu stomatologicznym istnieje wiele metod, które mogą być stosowane w zależności od indywidualnych potrzeb pacjenta. Jedną z najpopularniejszych technik jest leczenie kanałowe, które polega na usunięciu zainfekowanej miazgi zęba i jego dokładnym oczyszczeniu. To skuteczna metoda, która pozwala uratować ząb przed ekstrakcją. Inną powszechnie stosowaną procedurą jest wybielanie zębów, które ma na celu poprawę estetyki uśmiechu. Warto jednak pamiętać, że wybielanie powinno być przeprowadzane pod kontrolą specjalisty, aby uniknąć uszkodzenia szkliwa. Ortodoncja to kolejny ważny aspekt leczenia stomatologicznego, który zajmuje się prostowaniem zębów oraz korygowaniem wad zgryzu. Dzięki aparatom ortodontycznym można osiągnąć nie tylko lepszy wygląd, ale także poprawić funkcję żucia oraz zdrowie jamy ustnej.
Jakie są najczęstsze problemy stomatologiczne i ich leczenie

Problemy stomatologiczne mogą przybierać różne formy i dotyczyć zarówno dorosłych, jak i dzieci. Najczęściej występującym problemem jest próchnica, która rozwija się w wyniku działania bakterii na szkliwo zębów. Leczenie próchnicy polega na usunięciu chorej tkanki oraz wypełnieniu ubytku odpowiednim materiałem kompozytowym lub amalgamatowym. Innym częstym schorzeniem są choroby dziąseł, takie jak zapalenie dziąseł czy paradontoza. Leczenie tych dolegliwości wymaga nie tylko interwencji dentystycznej, ale także zmiany nawyków higienicznych pacjenta. W przypadku bólu zęba często konieczne jest zastosowanie leków przeciwbólowych oraz wizyty u dentysty w celu ustalenia przyczyny bólu i podjęcia odpowiednich działań. Zdarzają się również przypadki urazów zębów spowodowanych kontuzjami czy upadkami, które wymagają natychmiastowej pomocy stomatologicznej.
Jak dbać o zdrowie jamy ustnej po leczeniu stomatologicznym
Prawidłowa pielęgnacja jamy ustnej po zakończeniu leczenia stomatologicznego jest niezwykle istotna dla zachowania efektów terapii oraz ogólnego zdrowia zębów i dziąseł. Po każdym zabiegu warto przestrzegać zaleceń lekarza dotyczących higieny jamy ustnej oraz diety. Należy unikać twardych pokarmów przez kilka dni po zabiegach chirurgicznych lub ortodontycznych, aby nie uszkodzić świeżo leczonych miejsc. Regularne szczotkowanie zębów co najmniej dwa razy dziennie oraz stosowanie nici dentystycznej powinno stać się codziennym rytuałem każdego pacjenta. Dodatkowo warto rozważyć stosowanie płynów do płukania jamy ustnej zawierających składniki antybakteryjne, które pomogą w utrzymaniu zdrowia dziąseł. Kontrolne wizyty u dentysty co sześć miesięcy są kluczowe dla monitorowania stanu zdrowia jamy ustnej oraz wykrywania ewentualnych problemów na wczesnym etapie.
Jakie są nowoczesne technologie w leczeniu stomatologicznym
Nowoczesne technologie w leczeniu stomatologicznym znacząco wpłynęły na jakość usług oraz komfort pacjentów. W dzisiejszych czasach wiele gabinetów dentystycznych korzysta z zaawansowanych urządzeń, które umożliwiają precyzyjniejsze diagnozowanie oraz leczenie. Przykładem może być wykorzystanie cyfrowych zdjęć rentgenowskich, które pozwalają na szybsze i dokładniejsze uzyskanie obrazu stanu zębów oraz kości. Dzięki nim dentysta może lepiej ocenić sytuację i zaplanować odpowiednie leczenie. Kolejną innowacją jest zastosowanie technologii CAD/CAM, która umożliwia projektowanie i produkcję wypełnień czy koron bezpośrednio w gabinecie. To znacznie skraca czas oczekiwania pacjenta na gotowy produkt, a także zwiększa precyzję wykonania. Warto również wspomnieć o laserach stomatologicznych, które są wykorzystywane do leczenia próchnicy, usuwania tkanki miękkiej czy wybielania zębów. Lasery minimalizują ból oraz krwawienie, co sprawia, że zabiegi są mniej inwazyjne i bardziej komfortowe dla pacjentów.
Jakie są zalety regularnych wizyt u dentysty
Regularne wizyty u dentysty mają kluczowe znaczenie dla utrzymania zdrowia jamy ustnej oraz zapobiegania poważnym problemom stomatologicznym. Wizyty kontrolne pozwalają na wczesne wykrywanie chorób zębów i dziąseł, co jest niezwykle istotne w kontekście skutecznego leczenia. Dentysta podczas takiej wizyty przeprowadza dokładne badanie jamy ustnej, a także wykonuje profesjonalne czyszczenie zębów, które usuwa osad i kamień nazębny. Dzięki temu można uniknąć rozwoju próchnicy oraz chorób przyzębia. Regularne kontrole pozwalają również na monitorowanie efektów wcześniejszych zabiegów oraz dostosowywanie planu leczenia do zmieniających się potrzeb pacjenta. Ponadto wizyty u dentysty mogą być okazją do uzyskania cennych wskazówek dotyczących higieny jamy ustnej oraz diety, co przyczynia się do długotrwałego zdrowia zębów. Warto pamiętać, że im wcześniej zostaną wykryte problemy stomatologiczne, tym łatwiejsze i tańsze będzie ich leczenie.
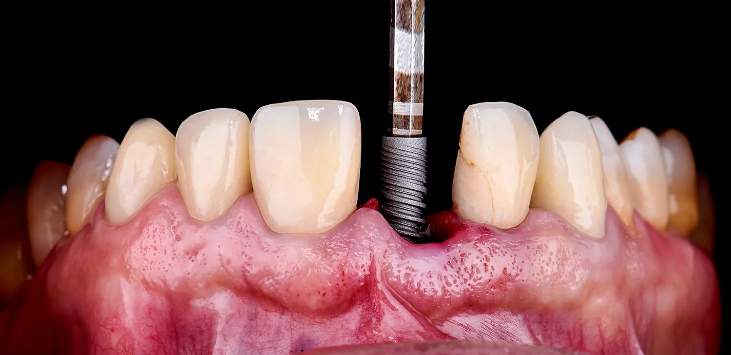
Jakie są koszty leczenia stomatologicznego w Polsce
Koszty leczenia stomatologicznego w Polsce mogą się znacznie różnić w zależności od rodzaju zabiegu oraz lokalizacji gabinetu. Warto zaznaczyć, że wiele usług stomatologicznych jest refundowanych przez Narodowy Fundusz Zdrowia, co może znacząco obniżyć wydatki pacjentów. Jednakże nie wszystkie procedury są objęte refundacją, a te bardziej zaawansowane często wiążą się z dodatkowymi kosztami. Na przykład leczenie kanałowe może kosztować od kilkuset do nawet kilku tysięcy złotych, w zależności od stopnia skomplikowania przypadku oraz użytych materiałów. Wybielanie zębów to kolejny zabieg, który zazwyczaj nie jest refundowany i jego cena może wynosić od 500 do 2000 złotych. Koszt implantów dentystycznych również bywa wysoki i oscyluje wokół kilku tysięcy złotych za jeden implant.
Jakie są najczęstsze mity dotyczące leczenia stomatologicznego
Wokół leczenia stomatologicznego krąży wiele mitów, które mogą wpływać na decyzje pacjentów dotyczące ich zdrowia jamy ustnej. Jednym z najpopularniejszych przekonań jest to, że wizyty u dentysty są zawsze bolesne i nieprzyjemne. W rzeczywistości dzięki nowoczesnym technikom oraz znieczuleniom ból podczas zabiegów jest minimalizowany lub całkowicie eliminowany. Innym mitem jest przekonanie, że tylko osoby dorosłe powinny regularnie odwiedzać dentystę. W rzeczywistości dzieci również potrzebują regularnych kontroli stomatologicznych już od momentu pojawienia się pierwszych zębów mlecznych. Kolejnym powszechnym błędnym przekonaniem jest to, że jeśli nie odczuwamy bólu zębów, nie ma potrzeby odwiedzania dentysty. Niestety wiele problemów stomatologicznych rozwija się bezobjawowo, dlatego regularne kontrole są kluczowe dla ich wczesnego wykrywania. Ważne jest również to, aby nie wierzyć w mity dotyczące wybielania zębów – wiele osób uważa, że można to zrobić samodzielnie w domu bez ryzyka uszkodzenia szkliwa.
Jakie są zalecenia dotyczące diety wspierającej zdrowie jamy ustnej
Dieta ma ogromny wpływ na zdrowie jamy ustnej i może wspierać procesy regeneracyjne po leczeniu stomatologicznym. Spożywanie pokarmów bogatych w witaminy i minerały jest kluczowe dla utrzymania zdrowych zębów i dziąseł. W szczególności wapń oraz witamina D są niezbędne dla prawidłowego rozwoju i mineralizacji kości szczęki oraz zębów. Produkty mleczne takie jak jogurty czy sery dostarczają cennych składników odżywczych wspierających zdrowie jamy ustnej. Owoce i warzywa bogate w błonnik pomagają w naturalny sposób oczyszczać zęby podczas żucia oraz stymulują produkcję śliny, która neutralizuje kwasy powstające w wyniku działania bakterii na resztki pokarmowe. Należy unikać nadmiernego spożycia cukrów prostych oraz napojów gazowanych, które mogą prowadzić do rozwoju próchnicy i innych problemów stomatologicznych. Zamiast tego warto sięgać po orzechy czy nasiona jako zdrowe przekąski między posiłkami.
Jakie są różnice między stomatologią estetyczną a ogólną
Stomatologia estetyczna i ogólna to dwa różne obszary praktyki dentystycznej, które mają swoje unikalne cele i metody działania. Stomatologia ogólna koncentruje się przede wszystkim na diagnostyce oraz leczeniu schorzeń jamy ustnej takich jak próchnica czy choroby dziąseł. Dentysta ogólny zajmuje się także profilaktyką oraz edukacją pacjentów na temat higieny jamy ustnej. Z kolei stomatologia estetyczna skupia się głównie na poprawie wyglądu uśmiechu poprzez różnorodne zabiegi takie jak wybielanie zębów, zakładanie licówek czy korekcja kształtu zębów za pomocą ortodoncji lub implantologii. Pacjenci często decydują się na zabiegi estetyczne nie tylko ze względów kosmetycznych, ale także psychologicznych – piękny uśmiech może zwiększyć pewność siebie i poprawić jakość życia.





